Τα κουνέλια έχουν ευαίσθητο σκελετό με εύθραυστα οστά γι’ αυτό χρειάζεται ιδιαίτερη προσοχή κατά τους χειρισμούς. Ειδικά τα μικρά παιδιά πρέπει να εκπαιδεύονται από τους ενηλίκους πώς να πιάνουν τα κουνέλια και πώς να παίζουν μαζί τους χωρίς να τα τραυματίζουν. Μια μικρή απροσεξία μπορεί να καταλήξει εύκολα σε σοβαρό τραυματισμό και κατάγματα των οστών.
 |
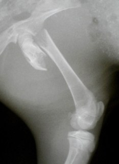
Σπειροειδές κάταγμα εγγύς μετάφυσης μηριαίου οστού σε κουνέλι 4 μηνών. |
 |
| Οστεοσύνθεση με ήλους |
 |
| Πέρας επέμβασης α΄ |
 |
| Πέρας επέμβασης β΄ |
 |
| Πέρας επέμβασης γ |