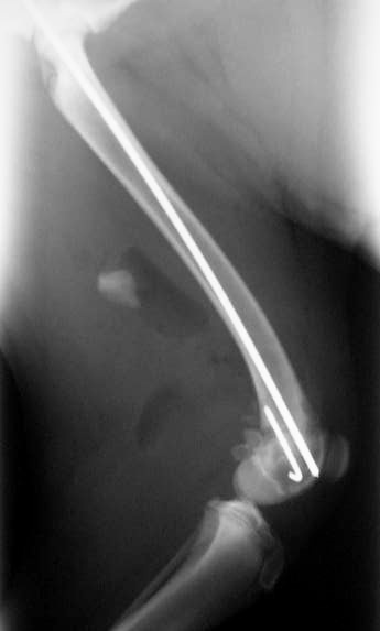
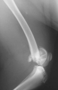
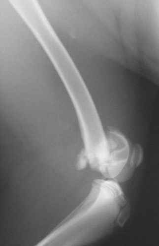
Υπερκονδύλιο κάταγμα μηριαίου σε σκύλο από Πέτρος Μπεάκος14/09/201307/12/2017Σχολιάστε Προεγχειρητική ακτινογραφία. Μετεγχειρητική ακτινογραφία:οστεοσύνθεση με διπλή ήλωση(ενδομυελικώς και χιαστί). Κοινοποιήστε: Στείλε ένα σύνδεσμο σε έναν φίλο(Ανοίγει σε νέο παράθυρο) Email Εκτύπωση(Ανοίγει σε νέο παράθυρο) Εκτύπωση Mοιραστείτε στο Facebook(Ανοίγει σε νέο παράθυρο) Facebook Μοιραστείτε στο X(Ανοίγει σε νέο παράθυρο) Χ Μου αρέσει! Φόρτωση... Σχετικά