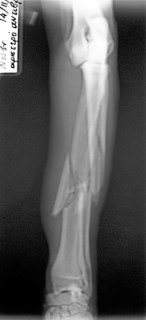
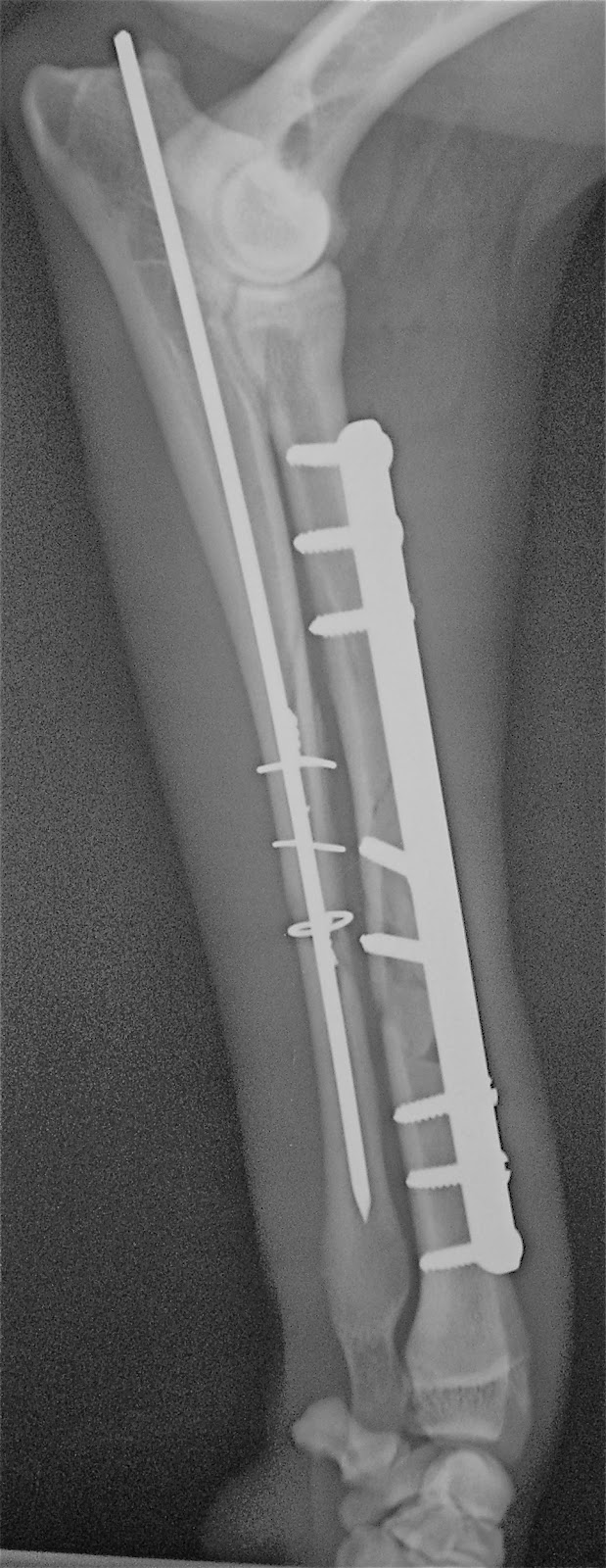
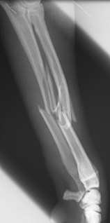
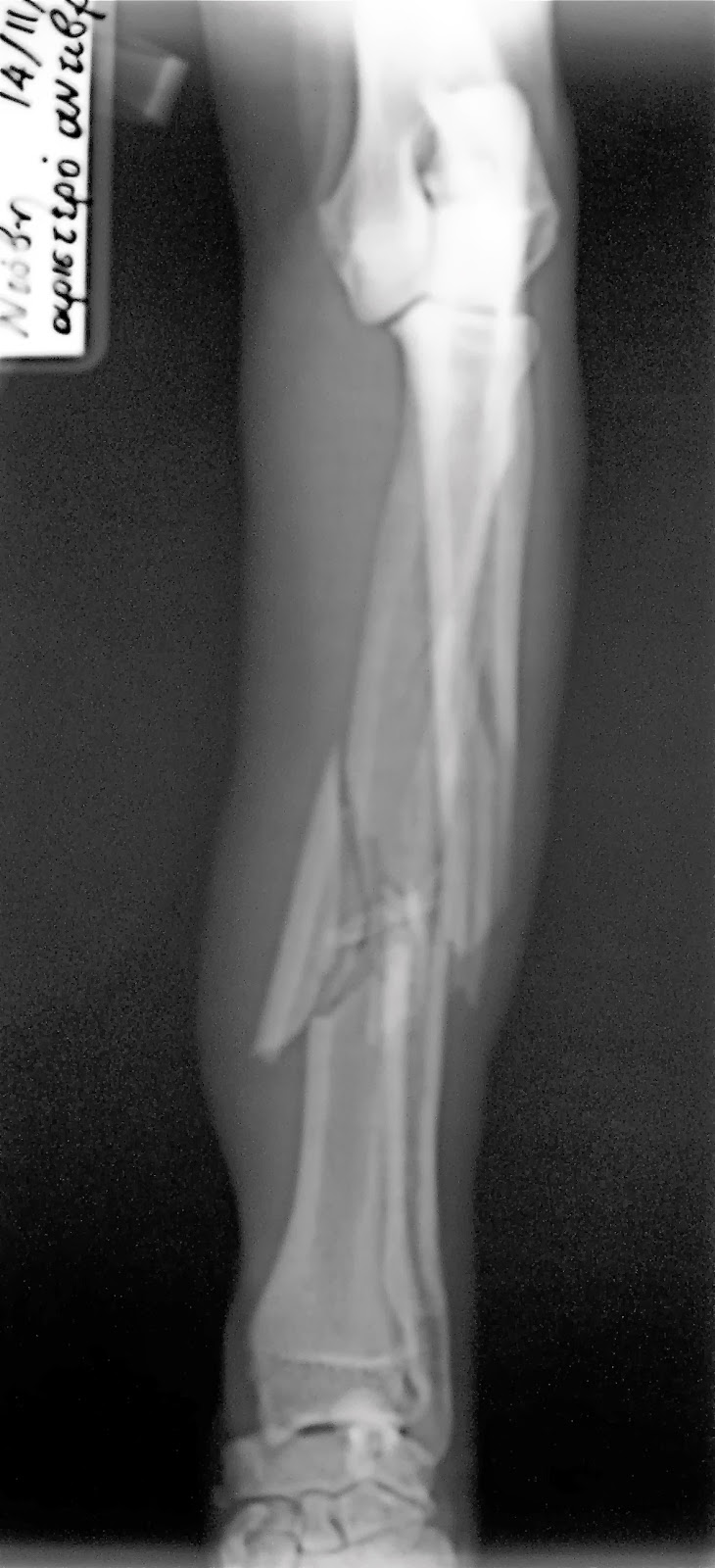
Συντριπτικό κάταγμα αντιβραχίου σε σκύλο από Πέτρος Μπεάκος08/01/201407/12/2017Σχολιάστε Προσθοπίσθια ακτινογραφία Πλάγια ακτινογραφία Οστεοσύνθεση κερκίδαςμε πλάκα και βίδες καιωλένης με ήλο και σύρμα Κοινοποιήστε: Στείλε ένα σύνδεσμο σε έναν φίλο(Ανοίγει σε νέο παράθυρο) Email Εκτύπωση(Ανοίγει σε νέο παράθυρο) Εκτύπωση Mοιραστείτε στο Facebook(Ανοίγει σε νέο παράθυρο) Facebook Μοιραστείτε στο X(Ανοίγει σε νέο παράθυρο) Χ Μου αρέσει! Φόρτωση... Σχετικά