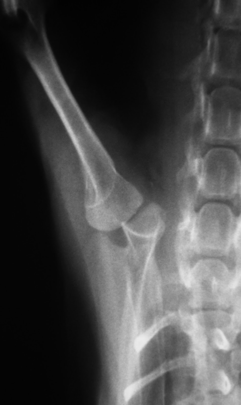
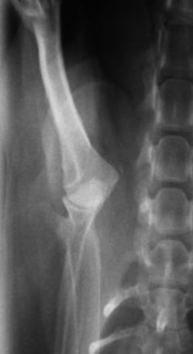
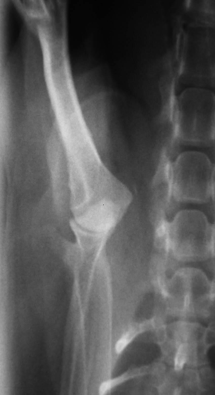
Συντηρητική ανάταξη εξαρθρήματος ώμου από Πέτρος Μπεάκος11/09/201307/12/2017Σχολιάστε Εξάρθρημα ώμου σε νανόσωμο Κανίς (Poodle toy) Μετά την ανάταξη Τοποθέτηση νάρθηκα Κοινοποιήστε: Στείλε ένα σύνδεσμο σε έναν φίλο(Ανοίγει σε νέο παράθυρο) Email Εκτύπωση(Ανοίγει σε νέο παράθυρο) Εκτύπωση Mοιραστείτε στο Facebook(Ανοίγει σε νέο παράθυρο) Facebook Μοιραστείτε στο X(Ανοίγει σε νέο παράθυρο) Χ Μου αρέσει! Φόρτωση... Σχετικά