Κάταγμα κνήμης και περόνης σε σκύλο Bull terrier

Προσθoπίσθια ακτινογραφία κνήμης σκύλου: λοξό κάταγμα μεσότητας διάφυσης κνήμης - περόνης
Προσθoπίσθια ακτινογραφία κνήμης:
λοξό κάταγμα μεσότητας
διάφυσης κνήμης – περόνης.
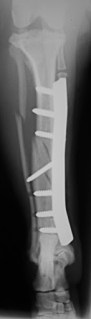
Ακτινογραφία κνήμης σκύλου αμέσως μετά την οστεοσύνθεση με μεταλλική πλάκα  και κοχλίες
Ακτινογραφία αμέσως μετά την
οστεοσύνθεση με μεταλλική πλάκα 
και κοχλίες.
Το εγχειρισμένο μία ημέρα μετεγχειρητικώς
Ο σκύλος μία ημέρα μετεγχειρητικώς
Μία ημέρα μετεγχειρητικώς.

Το εγχειρισμένο άκρο 3 εβδομάδες μετά.
Η χειρουργική τομή 3 εβδ. μετά
Τρείς εβδομάδες μετεγχειρητικώς.


Σχολιάστε