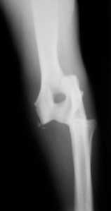
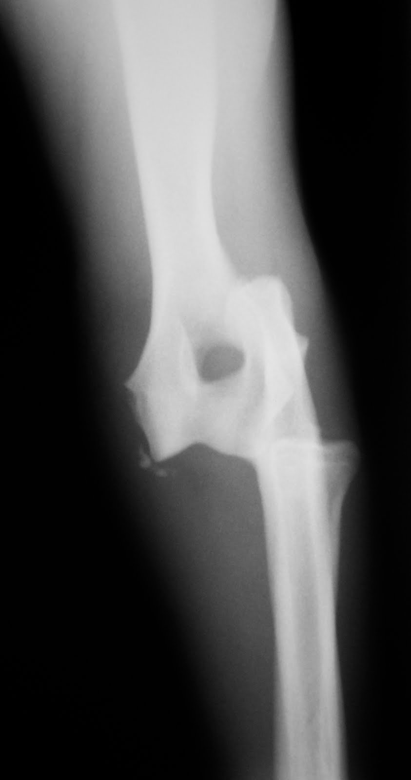
Βρέθηκα στο άλσος Συγγρού με τραυματισμένο το πρόσθιο δεξιό άκρο μου. Προσκομίστηκα στο Κτηνιατρικό Κέντρο Ιλισίων όπου διαπιστώθηκε ότι είχε εξαρθρωθεί ο δεξιός αγκώνας μου. Το εξάρθρημα ανατάχθηκε και τοποθετήθηκε νάρθηκας.
Σε 2 εβδομάδες ο νάρθηκας θα αφαιρεθεί. Για ένα μήνα δεν θα πρέπει να τρέχω ούτε να κουράζω το πόδι μου.
Φιλοξενούμαι προσωρινά από τους φιλόζωους που με πήγαν στον κτηνίατρο. Είμαι 1,5 έτους, ήσυχος και κουνάω σε όλους την ουρά μου.




